
Pseudomonas fluorescens 8R2ACX
DAPI stain, capsules appear as faint blue halos around cells (fluorescence microscope)

Pseudomonas fluorescens 8R2ACX
DAPI stain, capsules appear as faint blue halos around cells (fluorescence microscope)

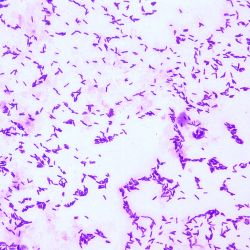
Janthinobacterium lividum
Grown at 22°, the shape of cells depends on growth temperature, stained with crystal violet (light microscope)

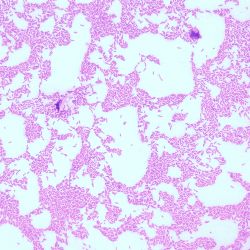
Janthinobacterium lividum
Grown at 30°, the shape of cells depends on growth temperature, stained with crystal violet (light microscope)

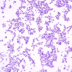
Rhodococcus pyridinovorans
Grown 5 days, the shape of pleomorphous cells depends on growth phase, stained with crystal violet (light microscope)

Gallionella ferruginea, Leptothrix ochracea
Gallionella ferruginea with a twisted stalk and Leptothrix ochracea (light microscope)

Bacteria from river water
Stained with propidium iodine (red dead cells) and SYTO9 (green viable cells) (fluorescence microscope)

Bacteria from river water
Stained with propidium iodine (red dead cells) and SYTO9 (green viable cells) (fluorescence microscope)










































